Режим работы: 09:00 – 21:00 без выходных
Полная реабилитация коронками и съемным бюгельным протезом
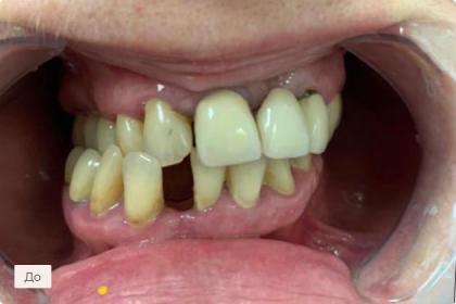
Пациент обратился с жалобами на разрушение зубов верхней и нижней челюсти, отсутствие зубов в боковом отделе нижней челюсти.
У пациента врожденная аномалия развития верхней челюсти положения зубов, нижняя челюсть также находится в неправильном положении относительно верхней.
Проведено комплексное исследование как зубов, так и состояния суставов. Было принято решение не менять положение челюстей относительно друг друга, а за счет коронок изменить положение зубов в челюсти. В боковом отделе был установлен бюгельный протез на замковом креплении.
В результате нам удалось изменить положение зубов и восстановить разрушенные зубы. Пациент остался доволен проделанной работой.
