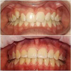
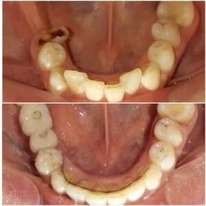
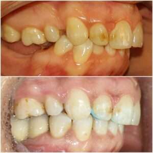
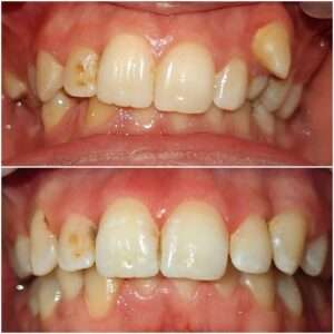
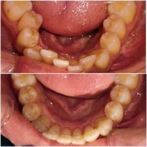
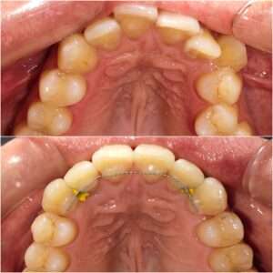
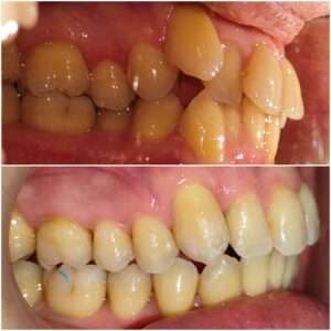
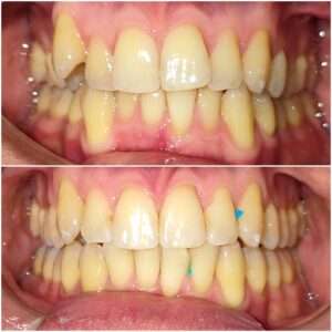
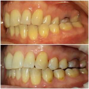
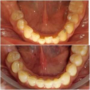
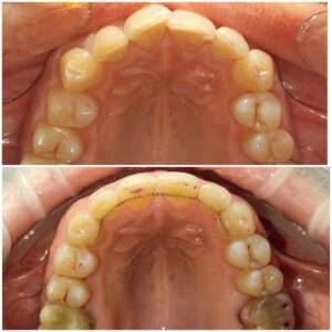
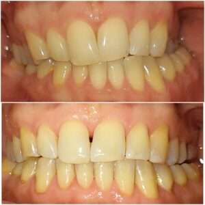
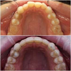
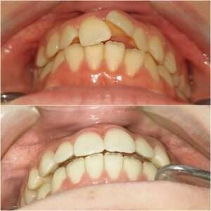
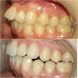
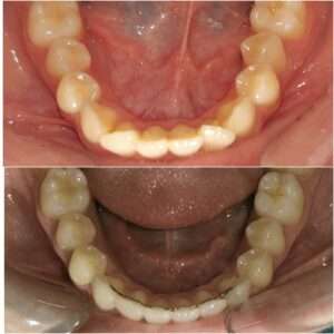
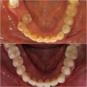
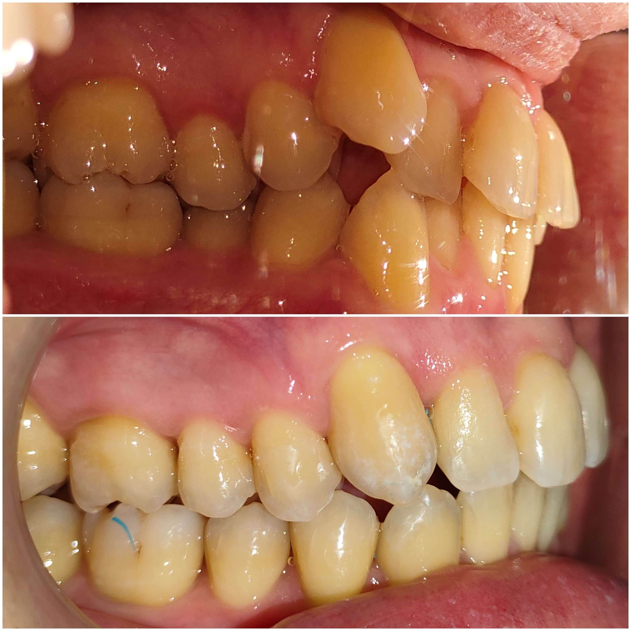
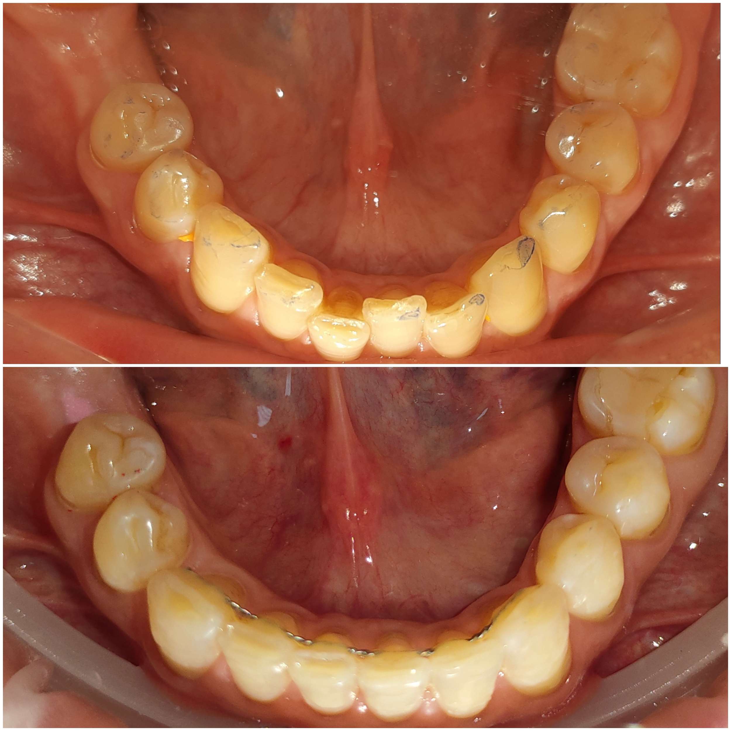
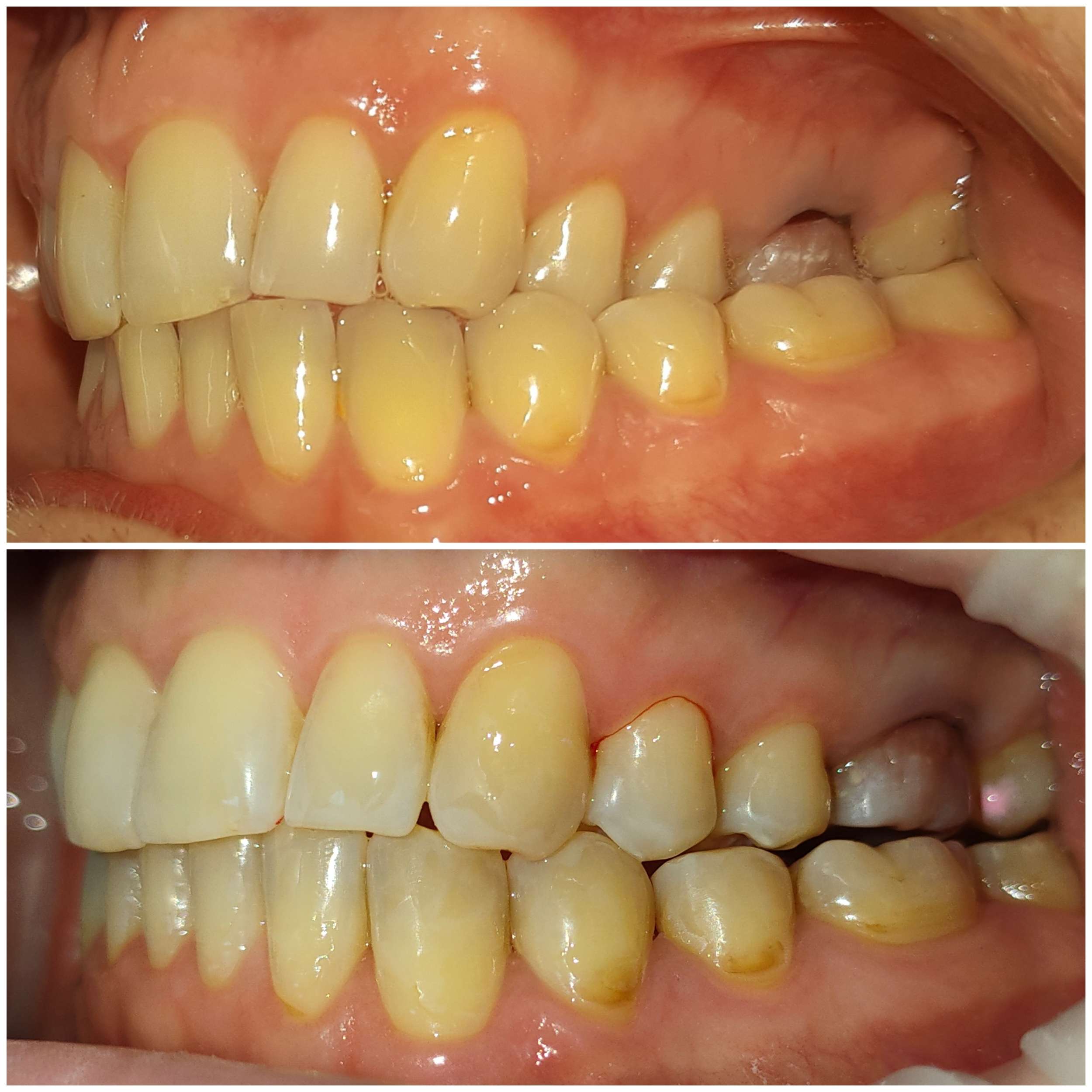
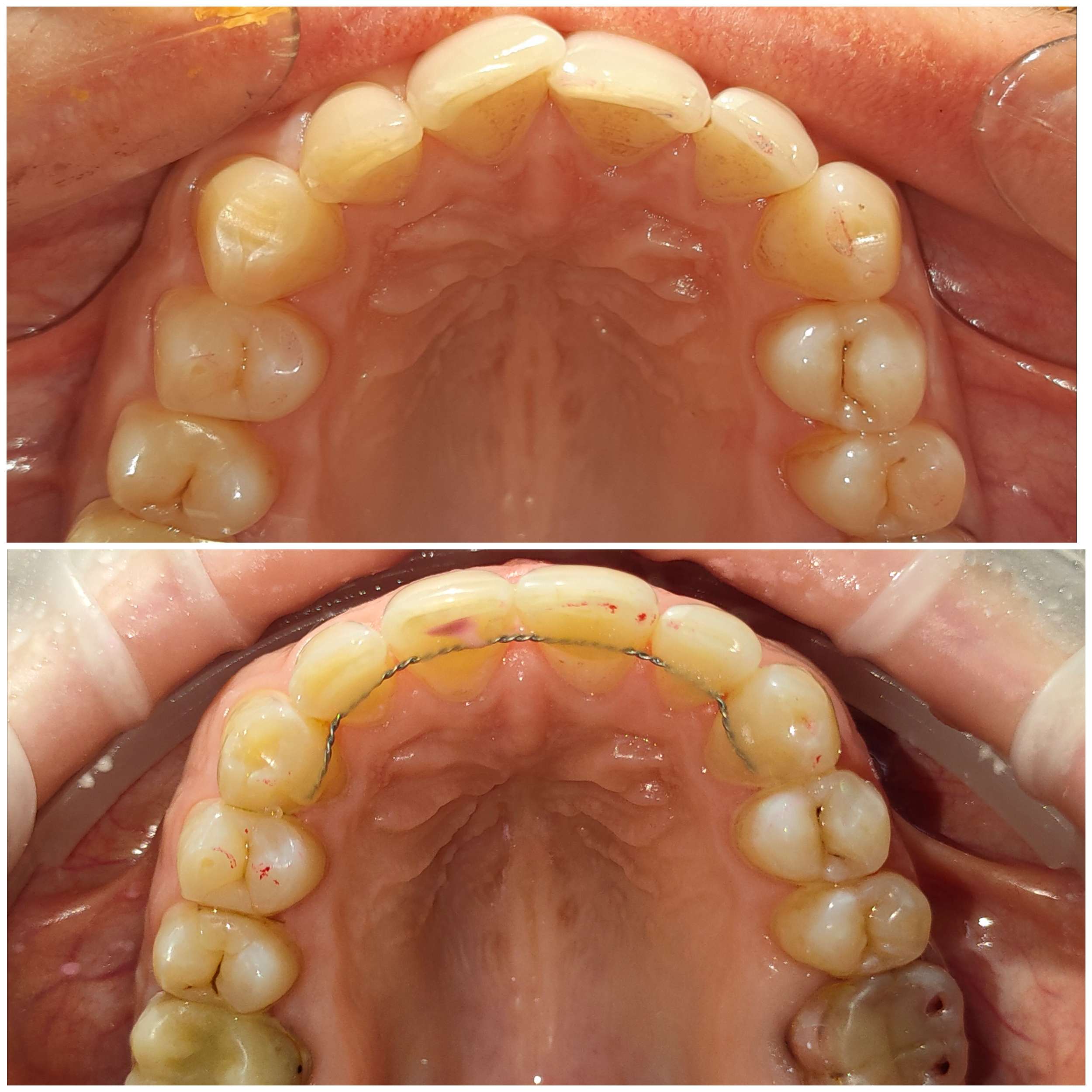
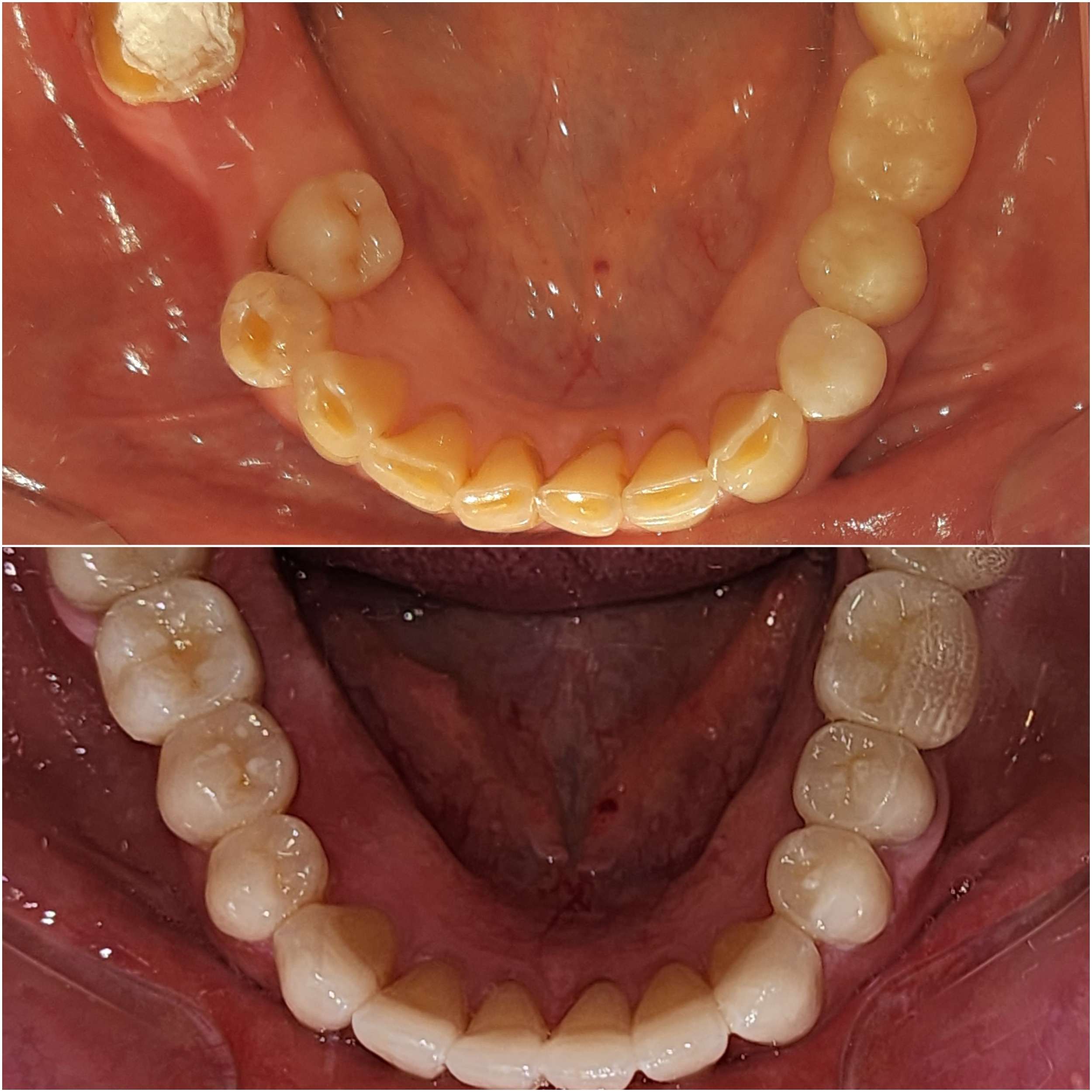
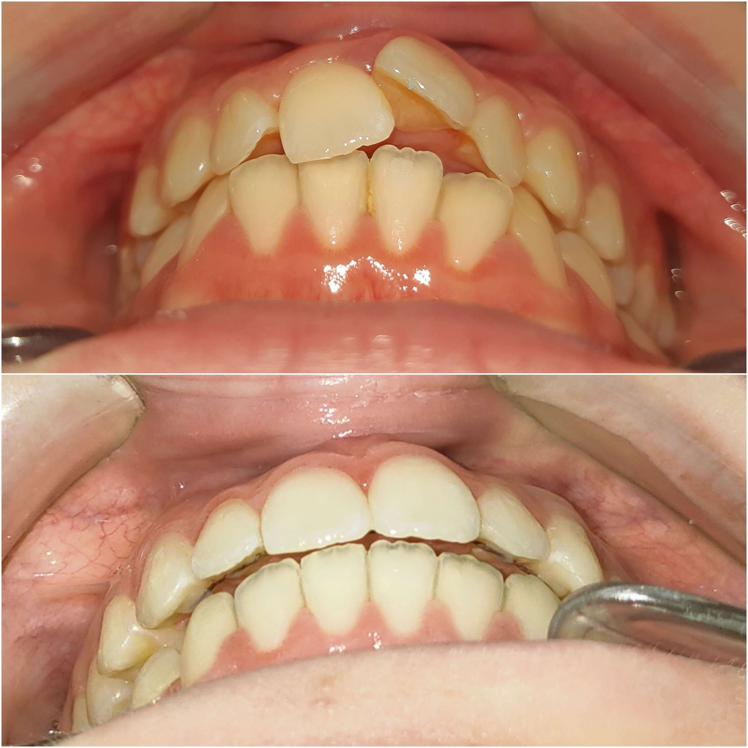
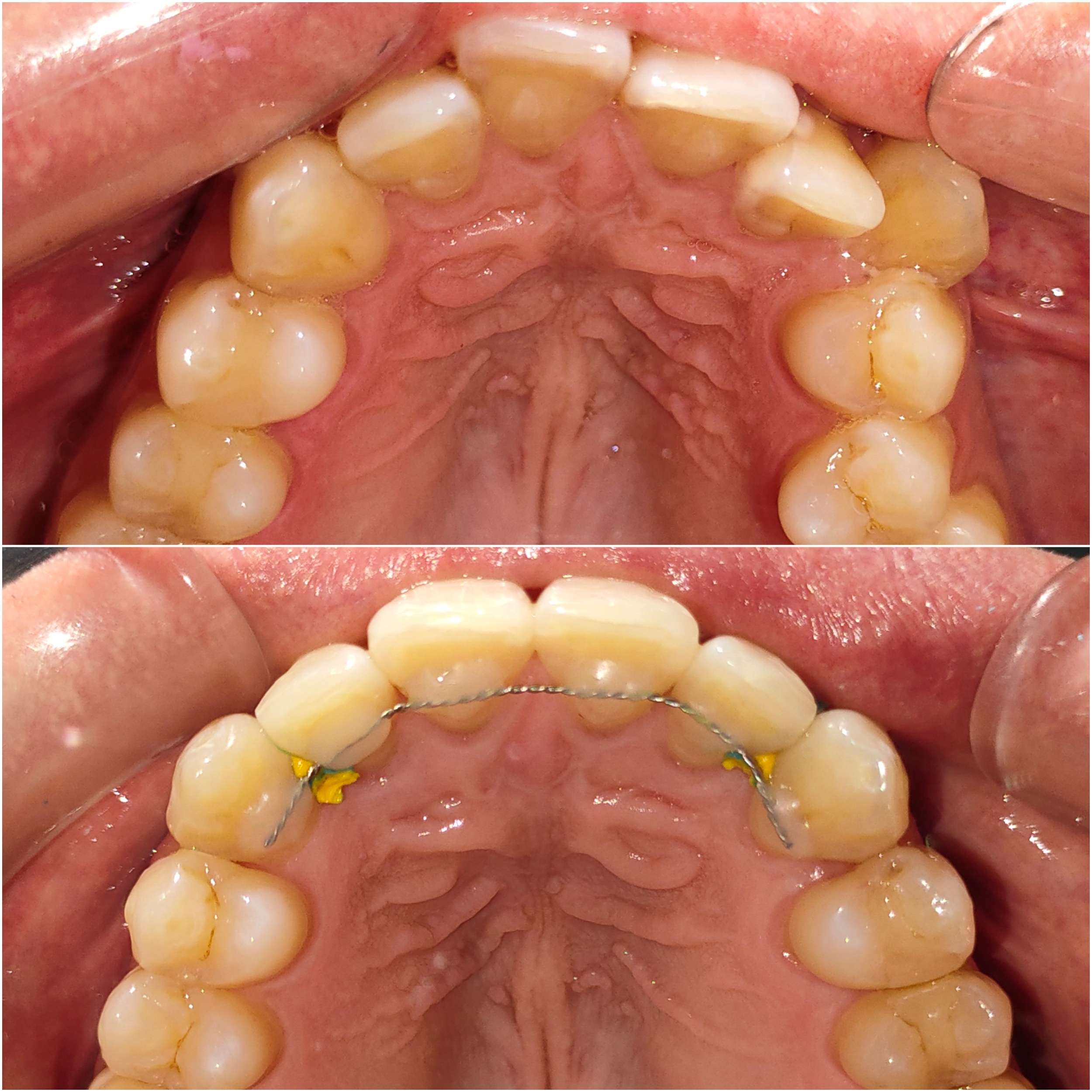
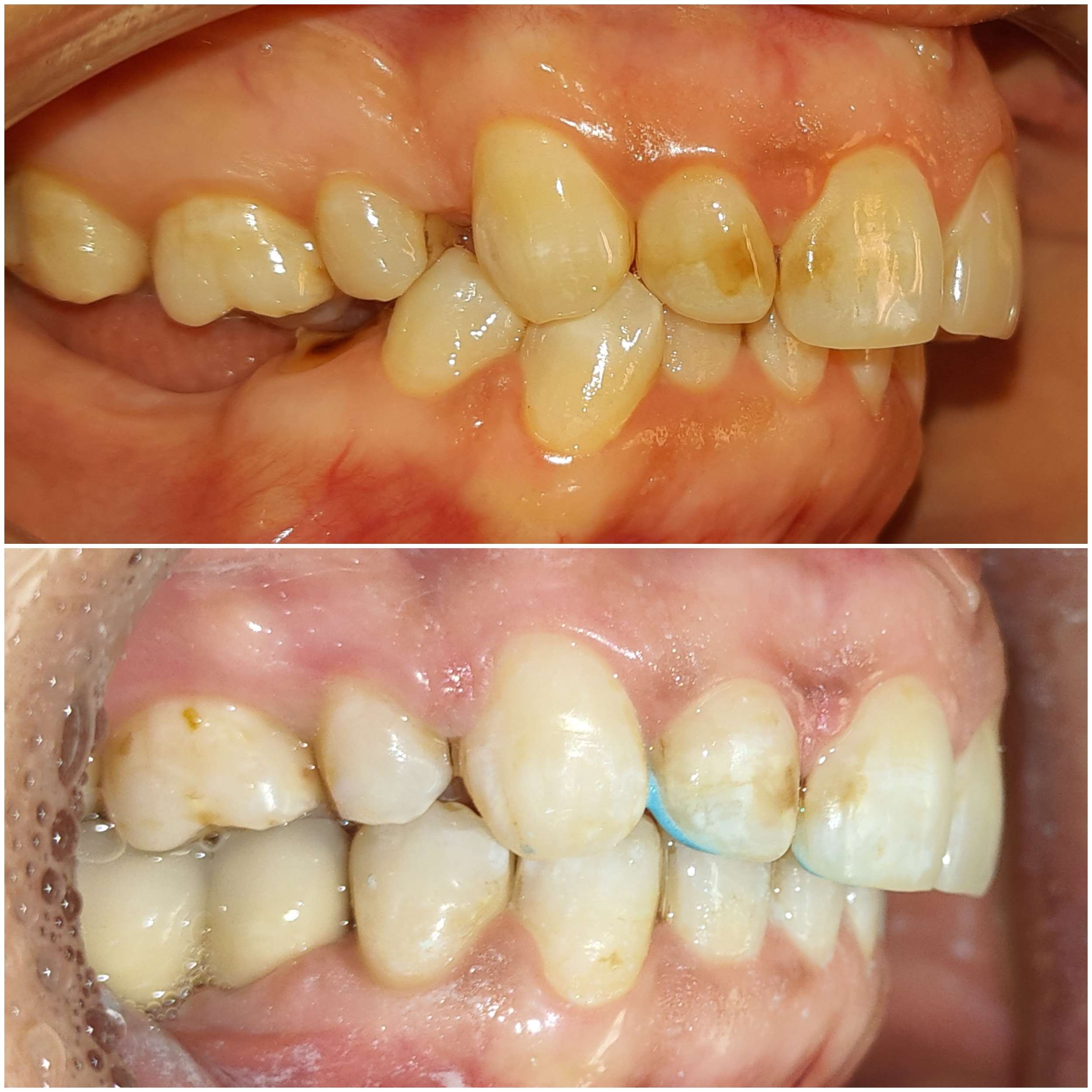
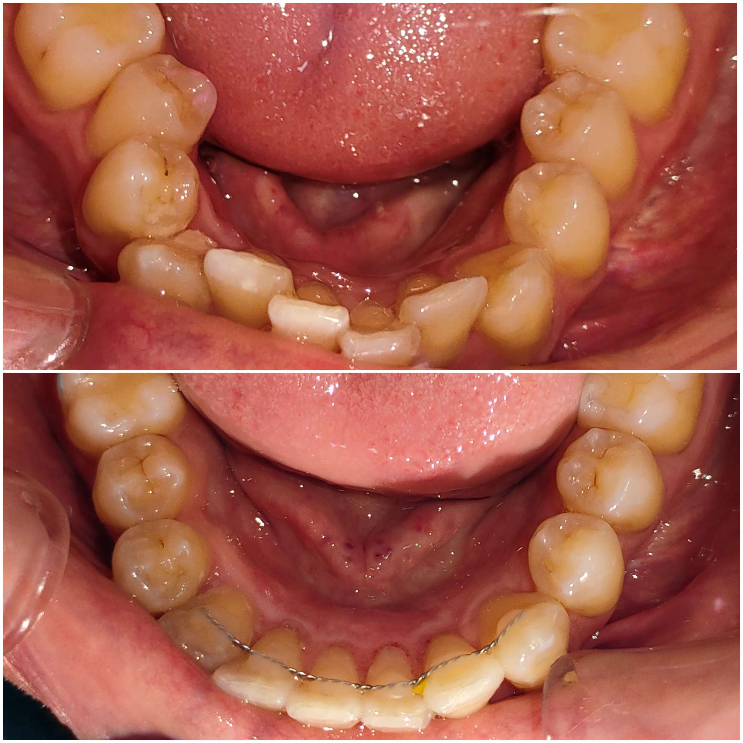
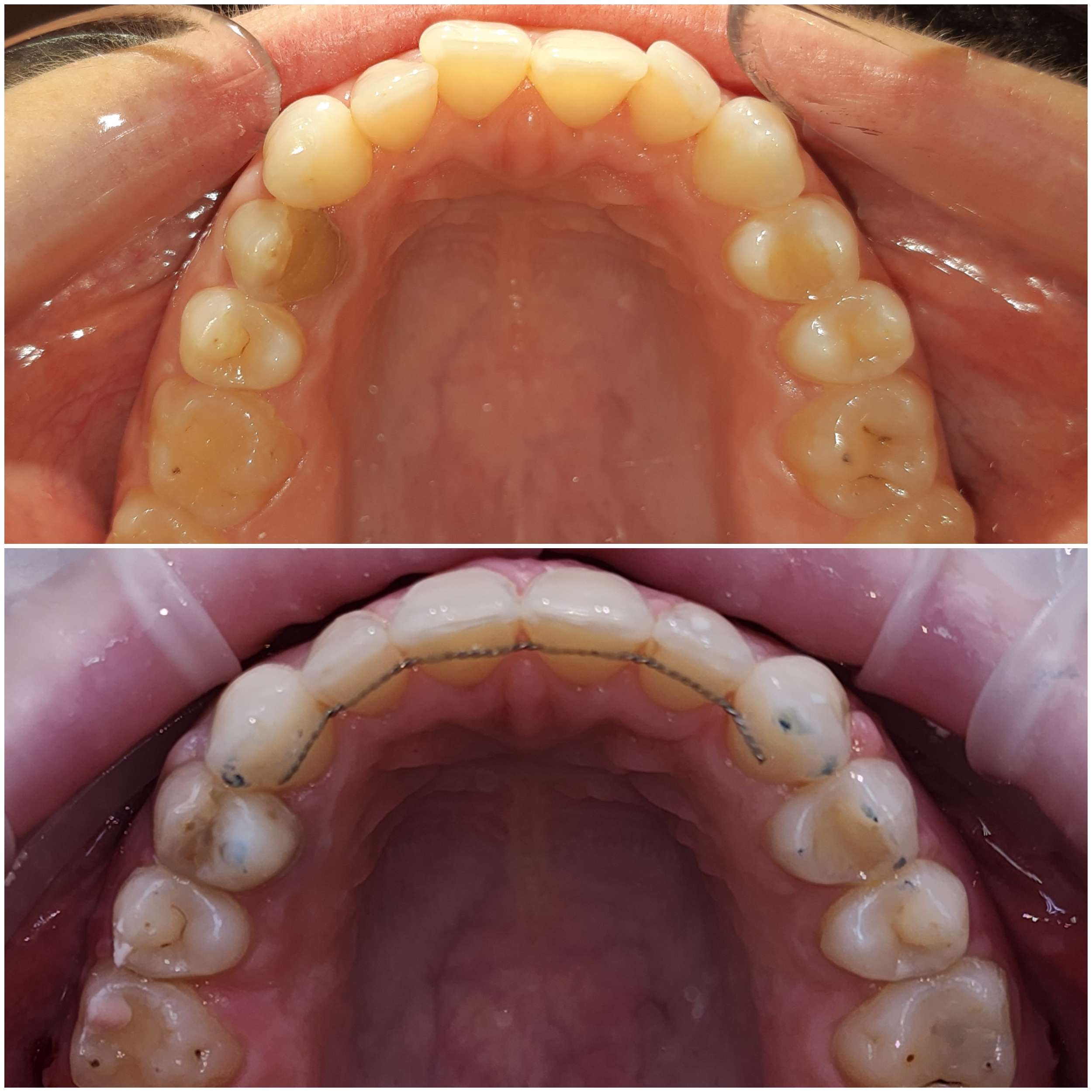
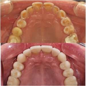
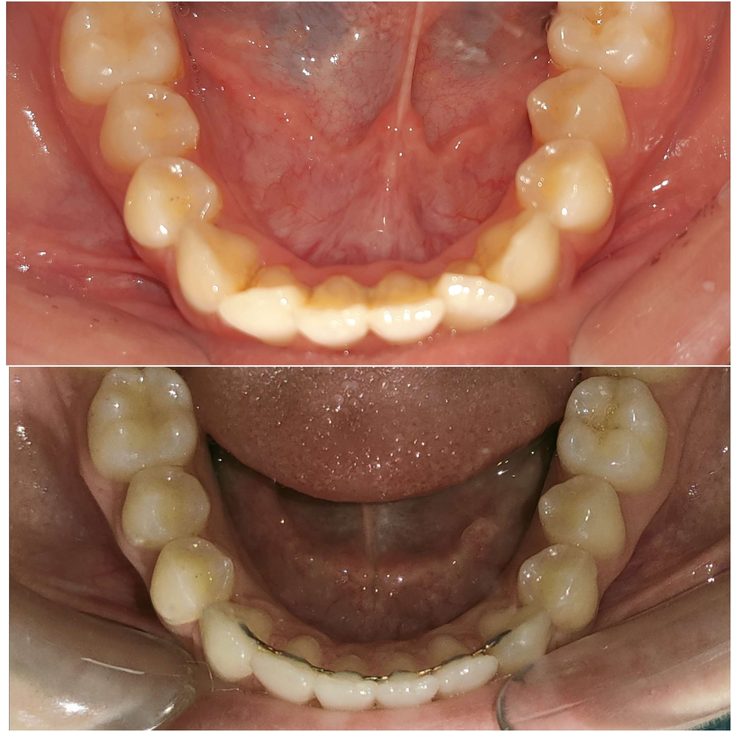
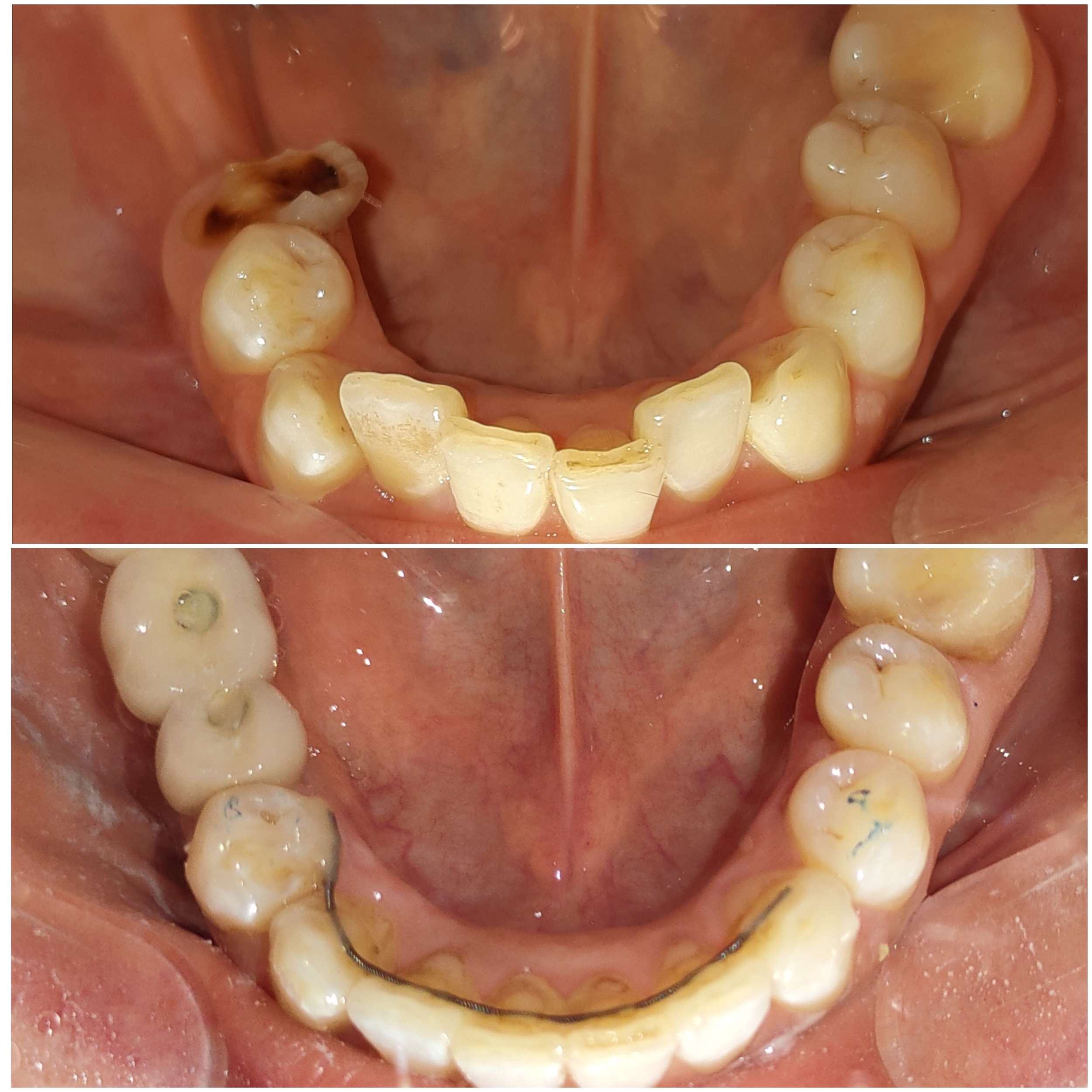
- Коррекция патологии сменного и постоянного прикуса зубов с помощью вестибулярных брекетов с применением метода морфо-функционального лечения «Quadrotech» (Италия) — (самолигирующиеся керамические, металлические)
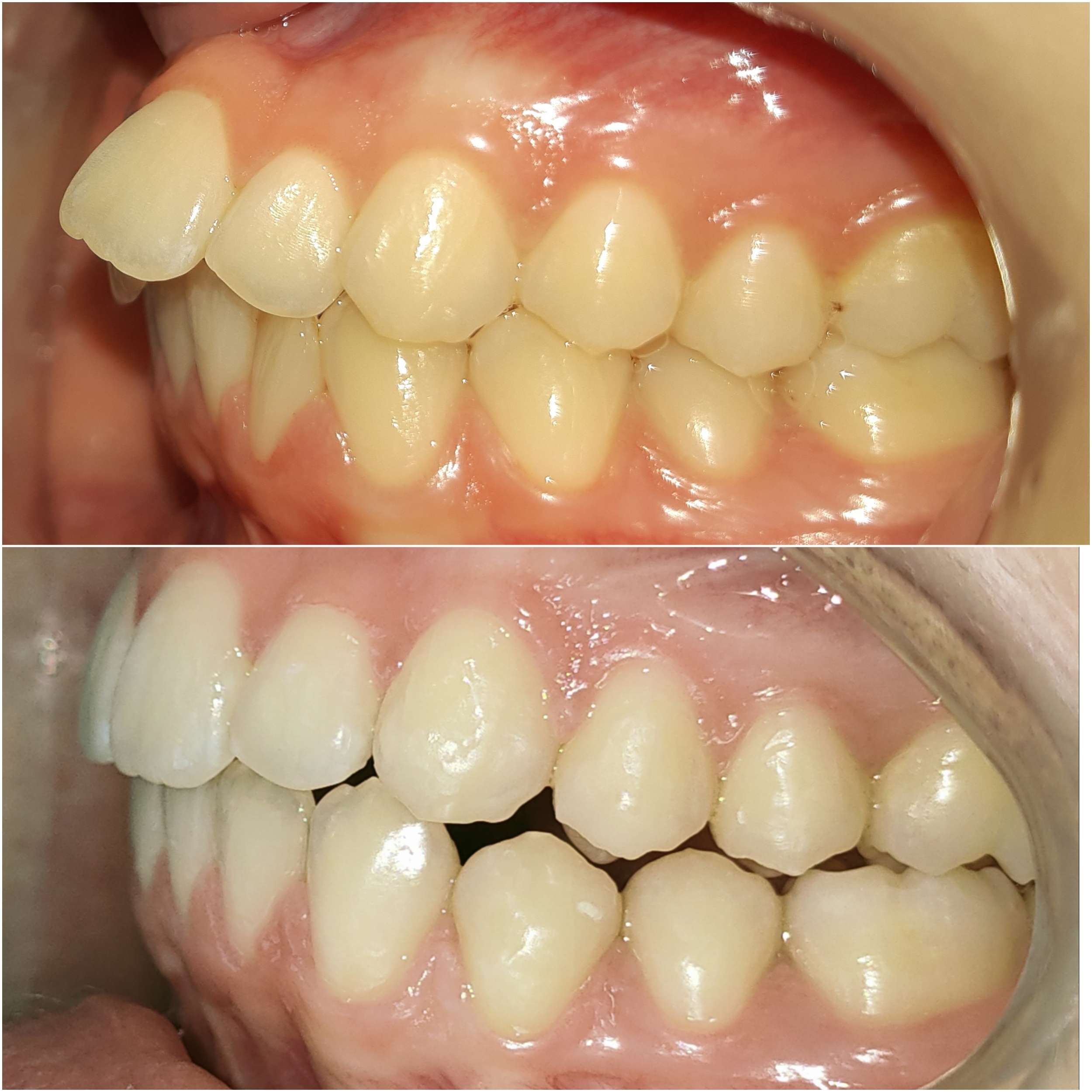
- Устранение неправильного положения зубов и смыкания с помощью элайнеров (прозрачные съёмные каппы)
- Коррекция положения зубов с помощью минивинтов при частичном отсутствии зубов
- Лечение детей с 6 лет с помощью пластиночных аппаратов для расширения челюстей, функциональных аппаратов – «Твин Блок», трейенеры, LM-активаторы для нормализации размеров челюстей, улучшения функции дыхания
- Лечение подростков от 11 до 14 лет с помощью системы «Элайнеры-Teen» для более комфортного и безопасного лечения прикуса.
Ким Владислав Сергеевич
Врач ортодонт. Стаж работы с 2017 г.
Образование
- 2009-2014 Московский государственный медико-стоматологический университет имени А.И.Евдокимова
- 2014-2015 Интернатура на кафедре клинической инновационной стоматологии профессора Л.Н. Максимовской
- 2015-2017 Ординатура на кафедре клинической стоматологии и имплантологии федерального государственного бюджетного образовательного учреждения дополнительного профессионального образования России, по специальности врач ортодонт
- Bronze provider Invisalign c 2019 года – пролечено более 100 пациентов за год в рейтинге докторов Invisalign (система элайнеров для исправления прикуса)
Двухлетний курс в школе Smart Orthodontics (Москва), Korean Orthodontics Research Institute (KORI, Сеул, Ю. Корея) по лечению сложных прикусов.





























