Режим работы: 09:00 – 21:00 без выходных
Полная реабилитация коронками и винирами
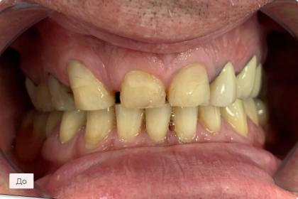
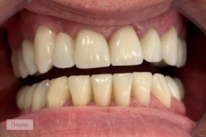
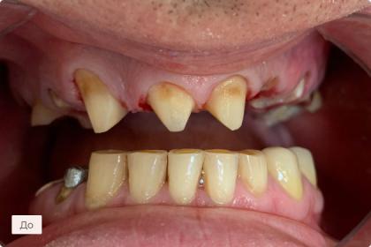
Пациент обратился с жалобами на разрушение зубов верхней и нижней челюсти и неудовлетворительное эстетическое состояние фронтальных зубов, а также отсутствие 12-го зуба.
От ортодонтического лечения брекет-системой отказался.
После комплекса диагностических мероприятий и консультаций с клиентом было принято решение установить коронки на основе оксида циркона на верхнюю челюсть и виниры из керамики Е-мах.
Нам удалось полностью восстановить разрушенные зубы пациента.
Фотогалерея процесса
Отзывы
Мнения и отзывы наших
клиентов
Остались вопросы?
Мы ответим на все интересующие вопросы и поможем в любых даже самых сложных случаях!
