Режим работы: 09:00 – 21:00 без выходных
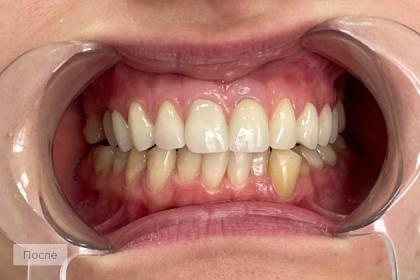
Керамические виниры E-max и имплантат
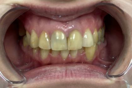
Пациент обратился с жалобами на:
- разрушение зубов верхней и нижней челюсти;
- неудовлетворительное эстетическое состояние фронтальных зубов;
- отсутствие 14 зуба.
Пациент от ортодонтического лечения брекет-системой отказался.
После комплекса диагностических мероприятий было принято решение установить виниры из керамики Е-мах и имплантат в области 14 зуба с коронкой из диоксида циркона.
Фотогалерея процесса
Отзывы
Мнения и отзывы наших
клиентов
Остались вопросы?
Мы ответим на все интересующие вопросы и поможем в любых даже самых сложных случаях!
