Режим работы: 09:00 – 21:00 без выходных
Изготовление штифтового зуба
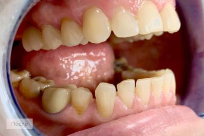
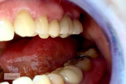
Пациент обратился с жалобами на разрушение 15 и 25 зубов.
После препарирования и удаления всех измененных тканей, пациенту было предложено изготовление штифтового зуба из материала Е-Мах (Германия).
По итогам работы получился максимально эстетичный результат, который можно увидеть на фото.
Фотогалерея процесса
Отзывы
Мнения и отзывы наших
клиентов
Остались вопросы?
Мы ответим на все интересующие вопросы и поможем в любых даже самых сложных случаях!
